Mirai : Une IA pour la Détection Précoce du Cancer du Sein
L’IA Mirai vient transformer le dépistage du cancer du sein en le diagnostiquant des années avant qu’il ne se développe. Cette nouvelle technologie promet d’améliorer considérablement la détection précoce et le traitement du cancer du sein. Il s’agit d’une avancée cruciale, surtout quand on considère les statistiques récentes : selon l’Organisation mondiale de la santé, 2,3 millions de nouveaux cas de cancer du sein ont été diagnostiqués en 2020, et 7,8 millions de femmes en ont été atteintes au cours des cinq dernières années. En intégrant l’intelligence artificielle (IA) dans le processus de dépistage, Mirai offre une précision et une efficacité accrues, ce qui est essentiel pour sauver des vies.
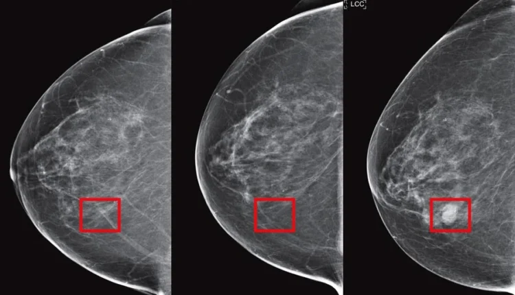
Les chercheurs du MIT ont développé un système d’apprentissage profond pour prédire le risque de cancer du sein à partir de mammographies. Le modèle, nommé Mirai, montre une grande précision à travers diverses démographies et contextes cliniques, promettant ainsi de transformer le dépistage et la prévention du cancer du sein MIT News.
Qu’est-ce que Mirai?
Mirai est une plateforme technologique développée par le CSAIL et le Jameel Clinic du MIT, qui utilise l’intelligence artificielle pour analyser les images de mammographie. Grâce à des algorithmes avancés d’apprentissage profond, Mirai peut prédire le risque de cancer du sein jusqu’à cinq ans à l’avance. L’algorithme a été validé sur des ensembles de données provenant de l’Hôpital Général du Massachusetts, de l’Institut Karolinska en Suède et de l’Hôpital Mémorial Chang Gung à Taïwan, montrant des performances constantes à travers différentes populations et environnements cliniques (Medical Xpress).

Les Statistiques Alarmantes
Selon la Société américaine du cancer, une femme sur huit, soit environ 13 % de la population féminine aux États-Unis, développera un cancer du sein invasif au cours de sa vie, et une femme sur 39 (3 %) en mourra. Avoir des mammographies régulièrement programmées peut réduire considérablement le risque de mourir du cancer du sein. Cependant, il reste difficile de prédire précisément, grâce au dépistage seul, quelles femmes développeront un cancer du sein American Cancer Society.
Les Avantages de Mirai
Précision Accrue dans l’indentification des signes subtils de cancer
Les algorithmes de Mirai sont capables d’identifier des signes subtils de cancer, améliorant ainsi la détection précoce. Cette technologie permet de réduire les faux négatifs, ce qui signifie moins de cas de cancer manqués (RSNA).
Réduction des Faux Positifs
Mirai minimise les diagnostics erronés, réduisant ainsi le nombre de biopsies inutiles et le stress pour les patientes. Une étude a montré que l’utilisation de l’IA dans le dépistage a permis de diminuer le taux de faux positifs de 2,39 % à 1,63 % (Medical News Today).
Accessibilité et Rapidité
En traitant rapidement un grand volume d’images, Mirai facilite un dépistage de masse efficace, permettant aux patientes de recevoir leurs résultats plus rapidement, ce qui est crucial pour une intervention rapide.
Mirai et l’Évaluation des Risques
Les chercheurs ont développé un algorithme d’évaluation des risques appelé “Mirai” qui montre des performances constantes à travers des ensembles de données des États-Unis, d’Europe et d’Asie. Mirai améliore les modèles existants en capturant des facteurs de risque uniques et en utilisant une couche de risques additives pour modéliser le risque de manière cohérente dans le temps.
AsymMirai : Une Nouvelle Interprétation
En réponse aux critiques sur l’opacité de Mirai, les chercheurs ont développé AsymMirai, un modèle d’apprentissage profond interprétable. AsymMirai utilise les différences bilatérales locales pour comparer les tissus mammaires gauche et droit, ce qui simplifie l’approche de Mirai tout en maintenant une performance presque équivalente pour prédire le risque de cancer du sein sur une période de un à cinq ans.
Pour l’étude, Jon Donnelly et ses collègues ont comparé AsymMirai à Mirai en utilisant 210 067 mammographies de 81 824 patientes du dataset EMBED (EMory BrEast imaging Dataset) de janvier 2013 à décembre 2020. Leurs résultats montrent qu’AsymMirai offre une précision comparable à Mirai, tout en étant plus compréhensible pour les radiologues. La méthode de dissimilarité bilatérale locale utilisée par AsymMirai met en évidence l’importance clinique de l’asymétrie mammaire comme marqueur d’imagerie pour le risque de cancer.
Donnelly a déclaré : “Nous pouvons, avec une précision étonnamment élevée, prédire si une femme développera un cancer dans les 1 à 5 ans à venir en se basant uniquement sur les différences localisées entre les tissus mammaires gauche et droit.” Cette approche pourrait influencer la fréquence des mammographies, offrant ainsi une surveillance plus ciblée et efficace.
Les résultats ont montré que le modèle simplifié AsymMirai performe presque aussi bien que Mirai pour la prédiction du risque de cancer du sein sur une période de un à cinq ans. En se basant sur les différences entre les tissus mammaires gauche et droit, AsymMirai pourrait devenir un outil précieux pour les radiologues, facilitant des diagnostics plus précis et des prédictions de risque plus fiables. Cela pourrait potentiellement affecter la fréquence des mammographies à l’avenir, rendant les dépistages plus efficaces et mieux adaptés aux besoins individuels des patientes.
Pour plus d'informations sur les recherches, vous pouvez consulter les études en radiologie , “AsymMirai: Interpretable Mammography-based Deep Learning Model for 1–5-year Breast Cancer Risk Prediction,” et l'éditorial y relatif, “Launching a New Era of Artificial Intelligence in Health Care.”
L’IA et la Révolution du Dépistage
L’IA ne se limite pas à la détection du cancer du sein. Elle joue également un rôle crucial dans le dépistage et le traitement d’autres types de cancers. Par exemple, des chercheurs développent des modèles d’apprentissage profond pour prédire la survie des patients atteints de cancer du sein en analysant des données génomiques complexes. Ces modèles peuvent aider à personnaliser les traitements, augmentant ainsi les chances de succès (Journal of Clinical Oncology).
De plus, des initiatives similaires utilisent l’IA pour améliorer le dépistage du cancer de la peau, de la prostate et des poumons. En combinant des techniques d’apprentissage automatique avec des données de santé électroniques, l’IA peut offrir des analyses plus précises et des plans de traitement personnalisés, améliorant ainsi les résultats pour les patients (The Lancet Oncology).
Une Nouvelle Ère pour le Traitement du Cancer du Sein
Mirai représente une avancée majeure dans la lutte contre le cancer du sein. En améliorant la précision du dépistage et en réduisant les erreurs de diagnostic, cette technologie a le potentiel de sauver des vies et d’améliorer considérablement la qualité des soins. Alors que l’intégration de l’IA dans le dépistage du cancer continue de progresser, l’avenir de la médecine personnalisée semble plus prometteur que jamais, offrant de nouvelles perspectives pour une détection et un traitement précoces. Pour en savoir plus sur les initiatives actuelles de dépistage du cancer du sein, consultez les détails du programme québécois.
[…] Lisez aussi : Mirai, une IA pour la détection du Cancer du Sein découvre les cancers 5 ans avant leur apparition […]